
तीव्र श्वसन संकट सिंड्रोम (ARDS) Publish Date : 22/09/2025
तीव्र श्वसन संकट सिंड्रोम (ARDS)
डॉ0 दिव्यांशु सेंगर एवं मुकेश शर्मा
तीव्र श्वसन संकट सिंड्रोम यानि (ARDS) एक जानलेवा फेफड़ों की चोट है जो सेप्सिस, निमोनिया, कोविड-19 और अन्य स्थितियों के कारण उत्पन्न होती है। ARDS आमतौर पर उस घटना के कुछ घंटों से लेकर कुछ दिनों के भीतर विकसित हो सकता है, जिसके कारण यह उत्पन्न होता है, और जल्दी ही बिगड़ भी सकता है। ARDS से पीड़ित लोगों को साँस लेने में मदद के लिए गहन चिकित्सा इकाइZ (ICU) और वेंटिलेटर आदि पर भी रखना पड़ सकता है।
श्वसन चिकित्साः एक अवलोकन

तीव्र श्वसन संकट सिंड्रोम (एआरडीएस) की स्थिति तब उत्पन्न होती है जब आपके फेफड़ों की छोटी वायु थैलियों में तरल पदार्थ जमा हो जाता है और इसके चलते ऑक्सीजन का स्तर गंभीर रूप से कम हो जाता है।
तीव्र श्वसन संकट सिंड्रोम (एआरडीएस) क्या है?
तीव्र श्वसन संकट सिंड्रोम (ARDS) फेफड़ों की एक चोट है जो तब उत्पन्न होती है जब आपके फेफड़ों में छोटी वायु थैलियों (एल्वियोली) में तरल पदार्थ जमा हो जाते हैं । ARDS आपके फेफड़ों को हवा से भरने से रोकता है और आपके रक्त में ऑक्सीजन के स्तर को खतरनाक रूप तक कम कर देता है (हाइपोक्सिया)।
स्वास्थ्य सेवा प्रदाता आमतौर पर किसी व्यक्ति को हल्के, मध्यम या गंभीर श्वसन संकट सिंड्रोम से पीड़ित बताते हैं। वह आपके रक्त में ऑक्सीजन के स्तर की तुलना उस ऑक्सीजन की मात्रा से करके उस स्तर का निर्धारण करते हैं जो एक स्वस्थ रक्त ऑक्सीजन स्तर प्राप्त करने के लिए अति आवश्यक है।
एआरडीएस आपके मस्तिष्क, हृदय, गुर्दे और पेट जैसे अन्य अंगों को आवश्यक ऑक्सीजन प्राप्त करने से रोकता है। एआरडीएस खतरनाक है और यह कई गंभीर और जानलेवा समस्याओं का कारण भी बन सकता है।
एआरडीएस आमतौर पर तब होता है जब कोई व्यक्ति किसी संक्रमण, बीमारी या आघात के आदि के उपचार के लिए अस्पताल में भर्ती किया जाता है। अगर आप अस्पताल में भर्ती नहीं हैं और आपको एआरडीएस के लक्षण दिखाई देते हैं, तो आपको तुरंत चिकित्सा सहायता लेनी चाहिए।
एआरडीएस के चरण:
एआरडीएस के तीन चरण होते हैं-
स्वास्थ्य सेवा प्रदाता आमतौर पर एआरडीएस को तीन चरणों में वर्गीकृत करते हैं: एक्सयूडेटिव, प्रोलिफेरेटिव और फाइब्रोटिकः यह वर्गीकरण मुख्य रूप से सूजन और द्रव निर्माण के स्तर और उसके बाद आपके फेफड़ों के ठीक होने के लिए होने वाली मरम्मत प्रक्रिया को दर्शाता है। हालांकि, सभी लोग तीसरे चरण तक नहीं पहुँचते, जो मुख्य रूप से आपके फेफड़ों में निशान ऊतक के निर्माण और लंबे समय तक वेंटिलेशन की आवश्यकता को दर्शाता है।
ARDS की समस्या कितनी आम है?
एआरडीएस हर साल संयुक्त राज्य अमेरिका में लगभग 2,00,000 लोगों और दुनिया भर में 30 लाखों लोगों को प्रभावित करता है। एआरडीएस सभी गहन चिकित्सा इकाई (आईसीयू) में भर्ती होने वाले मरीजों का लगभग 10 प्रतिशत कारण बनता है। यही कारण है कि कम से कम 25 प्रतिशत लोगों को अस्पताल में यांत्रिक वेंटिलेशन की आवश्यकता होती है।
ARDS लक्षण और कारण
तीव्र श्वसन संकट सिंड्रोम (ARDS) के लक्षणः
एआरडीएस के लक्षण मामले के कारण और गंभीरता के साथ-साथ पहले से मौजूद फेफड़ों या हृदय की स्थिति पर भी निर्भर करते हैं। इसके मुख्य लक्षणों में शामिल हैं:
- सांस लेने में गंभीर तकलीफ।
- तेज़ और कठिन श्वसन क्रिया।
- तेज़ हृदय गति।
- रक्त में ऑक्सीजन का स्तर कम होने के कारण नाखूनों और होठों का रंग नीला पड़ना।
तीव्र श्वसन संकट सिंड्रोम (एआरडीएस) कितनी जल्दी विकसित हो सकता है?
एआरडीएस आमतौर पर उस घटना के कुछ घंटों से लेकर कुछ दिनों के भीतर विकसित हो जाता है, जिससे यह उत्पन्न हुआ है। एआरडीएस तेज़ी से बिगड़ सकता है।
तीव्र श्वसन संकट सिंड्रोम (एआरडीएस) कारण
एआरडीएस के कारणों में शामिल हैं:
सेप्सिसः सेप्सिस एआरडीएस का सबसे आम कारण है। यह तब हो सकता है जब आपके फेफड़ों (निमोनिया) या अन्य अंगों में गंभीर संक्रमण हो और व्यापक सूजन हो।
एस्पिरेशन निमोनियाः पेट की सामग्री का आपके फेफड़ों में जाने से फेफड़ों को गंभीर नुकसान और एआरडीएस हो सकता है। एस्पिरेशन तब होता है जब भोजन, तरल पदार्थ या अन्य पदार्थ आपके वायुमार्ग और फेफड़ों में पहुँच जाते हैं।
रक्त आधानः यदि आप कम समय में 15 यूनिट से अधिक रक्त प्राप्त करते हैं तो आपको ARDS का खतरा हो सकता है।
COVID-19: COVID-19 वायरस गंभीर ARDS में विकसित हो सकता है।
अग्नाशयशोथः आपके अग्नाशय में गंभीर सूजन हो सकती है।
गंभीर चोट या जलनः दुर्घटनाएं और गिरने से आपके फेफड़ों या शरीर के अन्य अंगों को सीधे नुकसान पहुंच सकता है और इन चोटों के चलते आपके फेफड़ों में गंभीर सूजन उत्पन्न हो सकती है।
साँस द्वारा क्षतिः रासायनिक धुएं या धुएँ की उच्च सांद्रता के संपर्क के सम्पर्क में आने पर सांस लेना।
दवा की अधिक मात्राः कोकीन और ओपिओइड जैसी दवाओं की अधिक मात्रा में सेवन करना।
डूबना या डूबने के करीब होनाः डूबने से पानी आपके फेफड़ों में चला जाता है, जिससे फेफड़ों को नुकसान होता है।
किसको है ARDS का खतरा

जो लोग पहले से ही किसी चोट या बीमारी के कारण अस्पताल में भर्ती हैं, उन्हें ARDS होने का सबसे अधिक खतरा होता है। लेकिन, सिर्फ़ इसलिए कि आप अस्पताल में भर्ती हैं, इसका मतलब यह नहीं है कि आपको साँस लेने में तकलीफ़ होगी। कुछ कारक जो आपके जोखिम को बढ़ा सकते हैं, वे इस प्रकार हैं:-
- प्रभावित व्यक्ति की 65 वर्ष से अधिक उम्र का होना।
- तंबाकू इस्तेमाल।
- मादक द्रव्यों के सेवन से विकार।
- फेफड़ों की बीमारी होना।
तीव्र श्वसन संकट सिंड्रोम (एआरडीएस) की जटिलता
जब आप अस्पताल में हों या घर जाने के बाद ARDS से जटिलताएं और समस्याएं उत्पन्न हो सकती हैं, जैसेः
- रक्त के थक्के या डीप वेन थ्रोम्बोसिस (डीवीटी) की स्थिति।
- फेफड़े का संकुचित होना (न्यूमोथोरैक्स) यह वेंटिलेटर द्वारा घायल, कठोर फेफड़ों पर डाले गए दबाव के कारण हो सकता है।
- भ्रम (प्रलाप)।
- शरीर के कई अंग (मल्टी ऑर्गन फेल्योर) खराब होना।
- मांसपेशियों में कमजोरी आना।
- फेफड़े में घाव या फेफड़े में फाइब्रोसिस।
- अभिघातजोत्तर तनाव विकार (PTSD)।
- चिंता और अवसाद जैसी मानसिक स्वास्थ्य स्थिति।
निदान और परीक्षण
तीव्र श्वसन संकट सिंड्रोम (एआरडीएस) के निदान के लिए कौन से परीक्षण किए जाते हैं?
स्वास्थ्य सेवा प्रदाता शारीरिक परीक्षण और कई परीक्षणों के परिणामों के आधार पर एआरडीएस का निदान करते हैं। चूँकि एआरडीएस के लक्षण पुरानी फेफड़ों या हृदय संबंधी बीमारियों से मिलते-जुलते होते हैं, इसलिए आपके प्रदाता को अन्य कारणों का पता लगाने की आवश्यकता हो सकती है।
स्वास्थ्य सेवा प्रदाता कई परीक्षणों का संयोजन कराने का आदेश दे सकता है, जिनमें शामिल हैं:
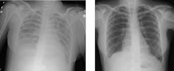
- आपके फेफड़ों में तरल पदार्थ को मापने के लिए छाती का एक्स-रे।
- आपके रक्त में ऑक्सीजन के स्तर को मापने और ARDS की गंभीरता निर्धारित करने के लिए एक रक्त परीक्षण।
- हृदय की कार्यप्रणाली का मूल्यांकन करने के लिए इकोकार्डियोग्राम (आपके हृदय का अल्ट्रासाउंड)।
- इलेक्ट्रोकार्डियोग्राम (या ईकेजी) आपके हृदय की विद्युत गतिविधि को मापने के लिए।
- ऑक्सीजन के स्तर की निरंतर निगरानी के लिए एक फिंगरटिप सेंसर (पल्स ऑक्सीमेट्री)।
- आपके फेफड़ों के बारे में अधिक विस्तृत जानकारी प्रदान करने के लिए कंप्यूटेड टोमोग्राफी (सीटी) स्कैन।
- संक्रमण का कारण जानने के लिए आपके वायुमार्ग से स्राव का नमूना लेना।
प्रबंधन और उपचार

तीव्र श्वसन संकट सिंड्रोम (एआरडीएस) का उपचार
एआरडीएस के उपचार में अंगों की विफलता को रोकने के लिए आपके रक्त में ऑक्सीजन का स्तर बढ़ाना शामिल है। एआरडीएस से पीड़ित लोगों को रक्त में ऑक्सीजन का स्तर सुधारने के लिए मैकेनिकल वेंटिलेटर और/या ऑक्सीजन थेरेपी की आवश्यकता होती है। साथ ही क्षति के कारण बंद हो चुके वायुमार्गों को खोलने में भी मदद की आवश्यकता होती है।
आपका स्वास्थ्य सेवा प्रदाता एआरडीसी से होने वाली जटिलताओं को कम करने के लिए कदम उठा सकता है। इनमें शामिल हैंः
- दर्द को नियंत्रित करने के लिए बेहोश करने वाली दवा और शामक दवाएं आपको आराम करने में मदद करती हैं।
- आपको पीठ के बल लिटाने के बजाय पेट के बल लिटाना।
- श्वास परीक्षण यह निर्धारित करने के लिए किया जाता है कि ट्यूब और वेंटिलेटर को कब निकालना सुरक्षित है।
- रक्त के थक्के बनने से रोकने के लिए रक्त पतला करने वाली दवाएँ।
- आपके शरीर से अतिरिक्त तरल पदार्थ निकालने के लिए मूत्रवर्धक दवाएँ।
- आपके फेफड़ों में तरल पदार्थ के जमाव को कम करने के लिए दवाएँ।
- संक्रमण को रोकने या उसका इलाज करने के लिए एंटीबायोटिक्स दवाएँ।
- मांसपेशियों की कमजोरी को रोकने के लिए सक्रिय गतिशीलता और अन्य भौतिक चिकित्सा।
- फुफ्फुसीय पुनर्वास आपके फेफड़ों को मजबूत करने और फेफड़ों की कार्यक्षमता क्षमता को बढ़ाने में सहायता करता है।
ARDS को ठीक होने में कितना समय लगता है?
इसका ठीक होना इस बात पर निर्भर करता है कि यह कितना गंभीर है और व्यक्ति के फेफड़ों को ठीक होने में कितना समय लगता है। अधिकांश अध्ययनों का अनुमान है कि एआरडीएस के बाद किसी व्यक्ति को अपने फेफड़ों की सामान्य कार्यक्षमता वापस पाने में औसतन छह महीने से एक साल तक का समय लगता है। हालांकि यह भी सम्भव है कि कुछ लोगों के फेफड़े पूरे जीवन पूरी तरह से काम नहीं कर पाते हैं।
एआरडीएस जीवित रहने की दर क्या है?
एआरडीएस में शीघ्र उपचार मिलने पर जीवित रहने की दर लगभग 55% से 70% तक होती है। यदि उपचार में देरी हो जाती है या अन्य अंग काम करना बंद कर देते हैं, तो जीवित रहने की दर कम हो जाती है।
अंतर्निहित चिकित्सीय स्थितियाँ, स्वास्थ्य इतिहास और श्वसन संकट की गंभीरता जैसे कारक, सभी भविष्य का निर्धारण करते हैं। आपका स्वास्थ्य सेवा प्रदाता आपको बताएगा कि क्या अपेक्षा करनी है।
आउटलुक / पूर्वानुमान
तीव्र श्वसन संकट सिंड्रोम (एआरडीएस) का पूर्वानुमान
एआरडीएस जानलेवा और भयावह हो सकता है। लेकिन बेहतर देखभाल और वेंटिलेटर उपचार, जिसमें ऑक्सीजन के प्रवाह को बेहतर बनाने के लिए लोगों को पेट के बल लिटाना भी शामिल है अधिक मरीजों को जीवित रहने और एआरडीएस की जटिलताओं को कम करने में मदद कर रहे हैं। 65 वर्ष से कम उम्र के लोगों और किसी चोट या रक्त आधान के कारण एआरडीएस होने पर स्थिति आमतौर पर बेहतर होती है।
एआरडीएस से उबरने में लंबा समय लग सकता है। अधिकतर ऐसे मरीज जिन्हें वेंटिलेटर से हटा दिया जाता है और वे आसानी से साँस ले सकते हैं। कुछ लोग पूरी तरह ठीक हो जाते हैं, लेकिन कुछ लोगों को फेफड़ों की पुरानी समस्याएँ हो सकती हैं जिनके लिए फेफड़ों के विशेषज्ञों (पल्मोनोलॉजिस्ट) की देखभाल की आवश्यकता होती है।
क्या आपके फेफड़े ARDS से उबर सकते हैं?
हाँ, आपके फेफड़े ARDS से पूरी तरह से ठीक हो सकते हैं। इसमें लगने वाला सटीक समय इस बात पर निर्भर करता है कि आपके फेफड़ों को कितना नुकसान हुआ है। अधिकतर मरीज दो साल के भीतर अपने फेफड़ों की कार्यक्षमता वापस पा लेते हैं, हालाँकि इस अनुमान में कई कारक शामिल होते हैं।
रोकथाम
एक्यूट रेस्पिरेटरी डिस्ट्रेस सिंड्रोम (ARDS) को रोकने का कोई तरीका उपलब्ध नहीं है। लेकिन अगर आपको सांस लेने में तकलीफ के लक्षण हों, या आपको फेफड़ों में चोट या कोई अन्य बीमारी हो, तो तुरंत चिकित्सा सहायता लेकर आप इसे गंभीर होने से रोक सकते हैं। धूम्रपान छोड़कर और शराब से परहेज करके आप गंभीर ARDS होने के अपने जोखिम को कम कर सकते हैं।
आईसीयू में बिताया गया समय दर्दनाक और कठिन हो सकता है। एआरडीएस से उबरने वाले मरीज जल्दी से अपनी रोज़मर्रा की ज़िंदगी में वापस नहीं आ पाएँगे, और आपको सहारे की ज़रूरत होगी। एआरडीएस से उबरने के लिए पेशेवर मदद और सलाह लेना ज़रूरी है। अपने क्षेत्र में उपलब्ध किसी भी पोस्ट-इंटेंसिव केयर रिकवरी प्रोग्राम और ऑनलाइन सहायता समूहों के बारे में अपनी स्वास्थ्य सेवा टीम से बात करें।

लेखक: डॉ0 दिव्यांशु सेंगर, प्यारे लाल शर्मां, जिला चिकित्सालय मेरठ मे मेडिकल ऑफिसर हैं।
